Une femme de 80 ans retrouvée avec une aiguille dans le crâne: «Elle a été victime d’une pratique sordide»
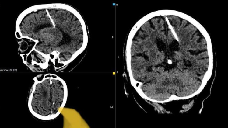
Terrifiant mais vrai. Une aiguille de trois centimètres de long se trouvait dans le crâne d’une femme de nationalité russe et ce, à son insu. La sombre découverte aurait été faite lors d’un scanner à l’hôpital…

L’aiguille serait là depuis la naissance de la patiente. Découverte alors que l’octogénaire passait des examens à l’hôpital, les médecins russes ont deviné que la malheureuse vieille dame avait «été victime d’une tentative d’infanticide particulièrement sordide alors qu’elle était bébé pendant la Seconde guerre mondiale» a relayé le Huffington Post.
Comme il est possible de l’observer sur les photos du scanner, un objet fin traverse le crâne de la femme de part et d’autre. Les médecins estiment que sa survie est tout simplement incroyable.
Une pratique courante
Malheureusement, cette femme n’est pas la première à avoir subi une tentative d’infanticide à cette époque. À cause des nombreuses années de famine qui sévissaient en Russie en 1943, il arrivait fréquemment qu’une fine aiguille soit enfoncée dans l’avant du crâne du bébé, partie qui répond au nom de «fontanelle» et qui à ce stade de l’enfant n’est pas encore formé. Par ce geste, la personne endommageait mortellement le cerveau du bébé tout en réalisant le crime parfait puisque: «La fontanelle se refermait rapidement, cachant les traces du crime, et le bébé mourait», explique l’a dévoilé le ministère de la Santé de la région de Sakhaline, en Russie.
Que va-t-il arriver à la femme?
Les médecins ne vont pas toucher à l’aiguille ou tenter de la retirer. «L’aiguille a pénétré dans le lobe pariétal gauche, mais cela n’a pas entraîné les conséquences attendues: la jeune fille a survécu», a relaté le ministère. La vieille dame n’étant pas immédiatement en danger, malgré le corps aiguisé planté dans son cerveau, les médecins ont jugé qu’il valait mieux laisser l’aiguille là où elle était pour «éviter d’aggraver son état». En revanche, la vielle dame sera surveillée de près, à l’avenir.
Retrouvez toute l’actu sur Metrotime.be